Zahnersatz

Kronen, Brücken, Prothesen

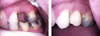
Fast immer, wenn größere Teile eines Zahnes oder aber der ganze Zahn verlorengegangen sind, wird ein Zahnersatz notwendig. Dabei unterscheiden wir zwischen herausnehmbaren Zahnersatz, der sogenannten Prothese, und festsitzenden Zahnersatz, z.B. Teilkronen, Kronen oder Brücken. In vielen Fällen kann die Verankerung von Zahnersatz auf Implantaten sehr sinnvoll sein.


Zahnersatz ist immer individuell, oft gibt es mehrere Behandlungsalternativen und die Zahl der dafür in Frage kommenden Materialien ist mittlerweile sehr vielfältig.

Vor der Anfertigung von Zahnersatz muß deshalb immer eine umfassende Aufklärung und Beratung des Patienten durch den Zahnarzt stehen, die nicht nur die Art des in Frage kommenden Zahnersatzes, sondern auch die auf den Patienten zukommenden Kosten und Fragen der Gewährleistung umfasst.