Start
Praxis
Behandlung
Zahnästhetik
Prophylaxe
Paradontologie
Zahnfüllungen
Endodontie
Zahnersatz
Kinderzahnheilkunde
Galerie
Kontakt
Galerie
Home
Galerie
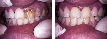
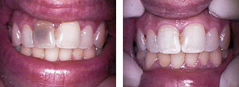
Zahnbehandlung Galerie