Endodontie

Wurzelbehandlung

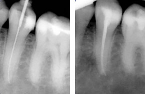
Ist der Zahnnerv durch Karies oder seltener, durch einen Unfall so geschädigt, dass er entfernt werden muss, wird eine Wurzelbehandlung notwendig. Dabei wird der Nerv entfert, der Zahn bzw. die Zahnwurzel gereinigt und desinfiziert und danach mit einem oder mehreren Kunstharzstiften gefüllt. Er bekommt eine Wurzelfüllung.


Wird diese Behandlung mit der notwendigen Sorgfalt durchgeführt, kann der Zahn danach, wie jeder gesunde Zahn, weiter seine Arbeit verrichten. Allerdings wird häufig nach einer Wurzelbehandlung, zum Schutz des Zahnes, eine adhäsive Kunststoffversorgung oder seltener eine Überkronung notwendig.